Ultrasonido Doppler Color Guanajuato

ULTRASONIDO DOPPLER COLOR

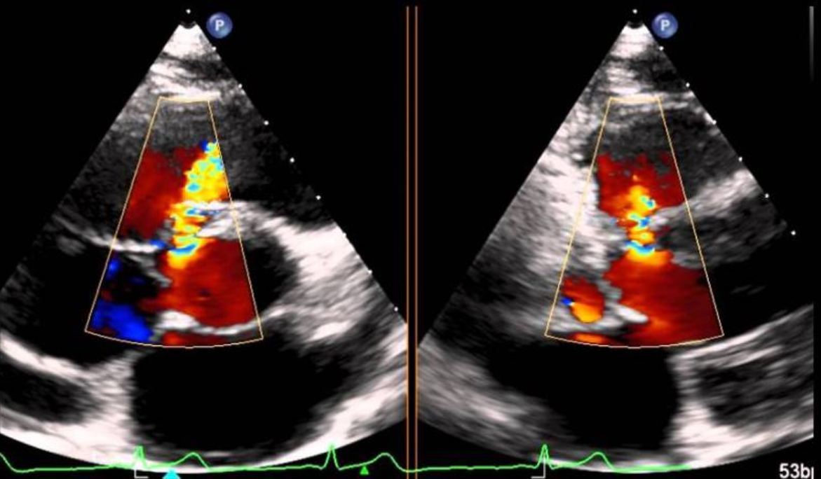
Un ultrasonido expone la región de interés del cuerpo a ondas sonoras de alta frecuencia. Las imágenes del ultrasonido son capturadas en tiempo real; eso es, no sólo muestran la estructura de una parte en particular del cuerpo, sino que también pueden mostrar el movimiento de los órganos internos así como el flujo de sangre a través de los vasos. Ultrasonido Doppler, es una aplicación especial del ultrasonido que mide la dirección y velocidad de las células sanguíneas a medida que se mueven por los vasos. El movimiento de las células sanguíneas causa un cambio en el tono de las ondas acústicas reflejadas, denominado efecto Doppler. Una computadora recopila y procesa los sonidos y crea gráficos o imágenes a color que representan el flujo sanguíneo a través de los vasos sanguíneos.

En la actualidad la ultrasonografía es el método por imagen más usado en Medicina. Sus grandes ventajas son las de tener un bajo costo, un diagnóstico de alta sensibilidad, instrumental portátil e inocuo (no se expone el paciente a radiaciones). Todo ello ha hecho que tenga un uso muy frecuente por la sensibilidad y especificidad de la ecografía en el área diagnóstica, así como la seguridad de su uso en el área intervencionista.